
Happy Align Khay chỉnh nha trong suốt, êm ái, hiệu quả, cá nhân hóa cho bạn
Êm ái – Hiệu quả – Cá nhân hóa cho bạn

Không gửi dữ liệu đi xa, điều chỉnh kế hoạch ngay khi cần

Nhận khay trong 2–3 ngày, không chờ hàng tuần

Hiệu quả tương đương hãng quốc tế, tối ưu chi phí
Happy Align ra đời từ mong muốn mang đến cho bệnh nhân giải pháp chỉnh nha thẩm mỹ, hiệu quả và phù hợp hơn.
Tất cả khay được sản xuất ngay tại labo của chúng tôi, theo quy trình tiêu chuẩn quốc tế:
Với Happy Align, bạn được bác sĩ điều trị trực tiếp giám sát từ A–Z, đảm bảo kết quả chính xác và rút ngắn thời gian chỉnh nha.
| Mắc cài truyền thống | Khay trong suốt | Happy Align | |
|---|---|---|---|
| Thẩm mỹ | ❌ Thấy rõ | ✅ | ✅ |
| Thoải mái | ❌ Dễ vướng | ✅ | ✅ |
| Vệ sinh răng | ❌ Khó chải | ✅ | ✅ |
| Thời gian nhận khay | – | 3–4 tuần | 2–3 ngày |
| Điều chỉnh kế hoạch | – | Mất nhiều thời gian | Linh hoạt |







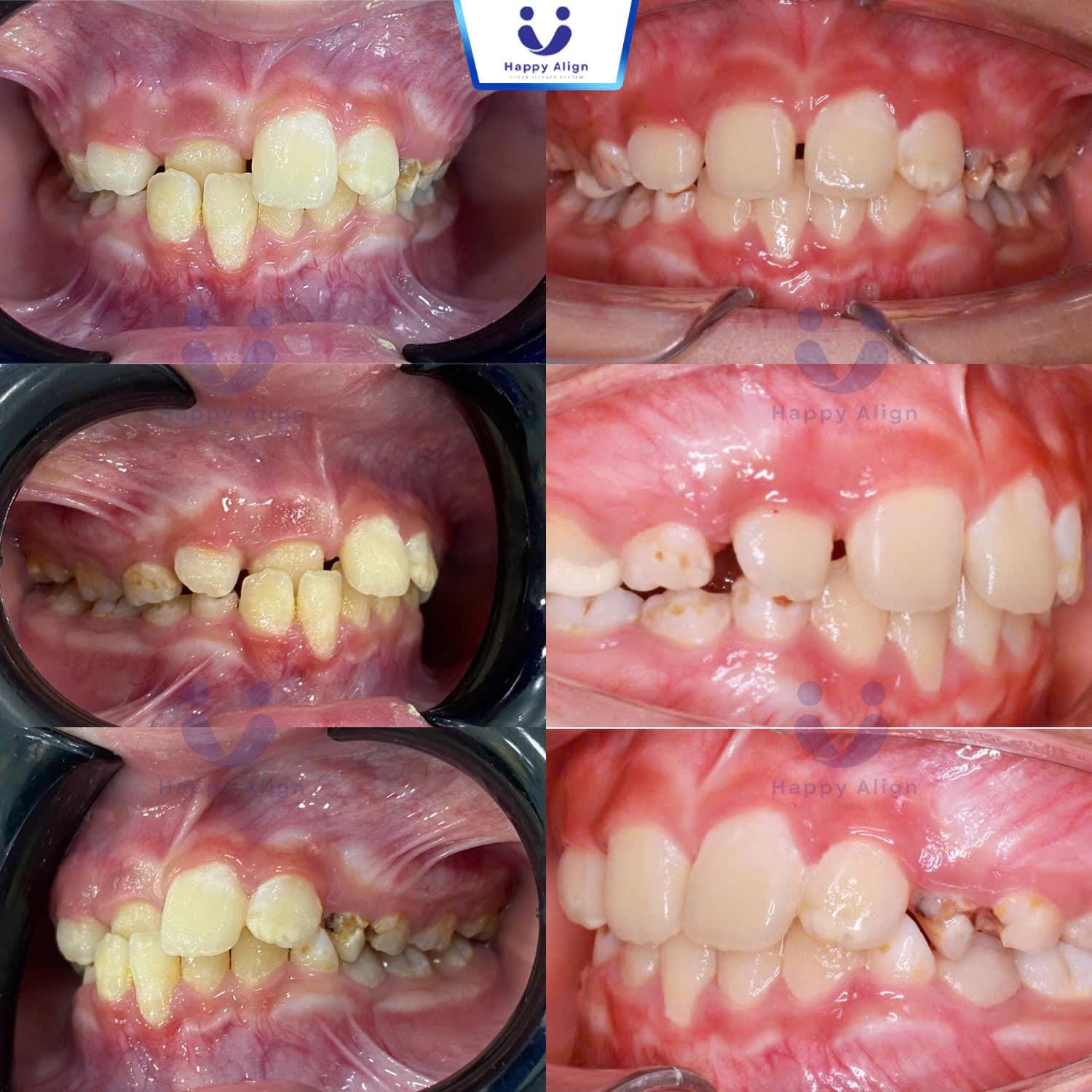
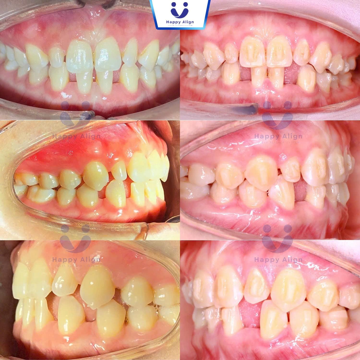
Mục tiêu điều trị: giải quyết cắn chéo, sắp đều răng
Thời gian: 16 khay- 5 thántháng

Mục tiêu điều trị: giải quyết cắn ngược, sắp đều răng
Thời gian: 33 khay - 11 tháng

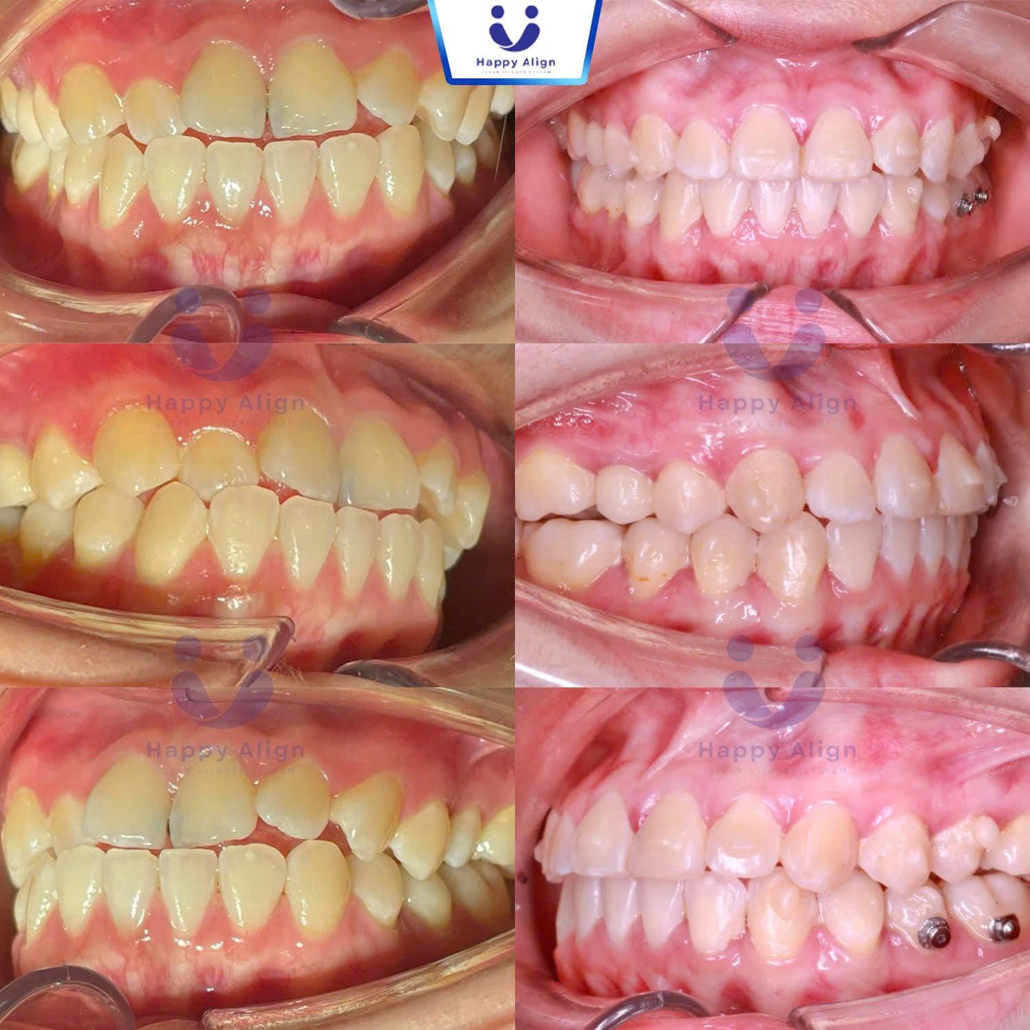
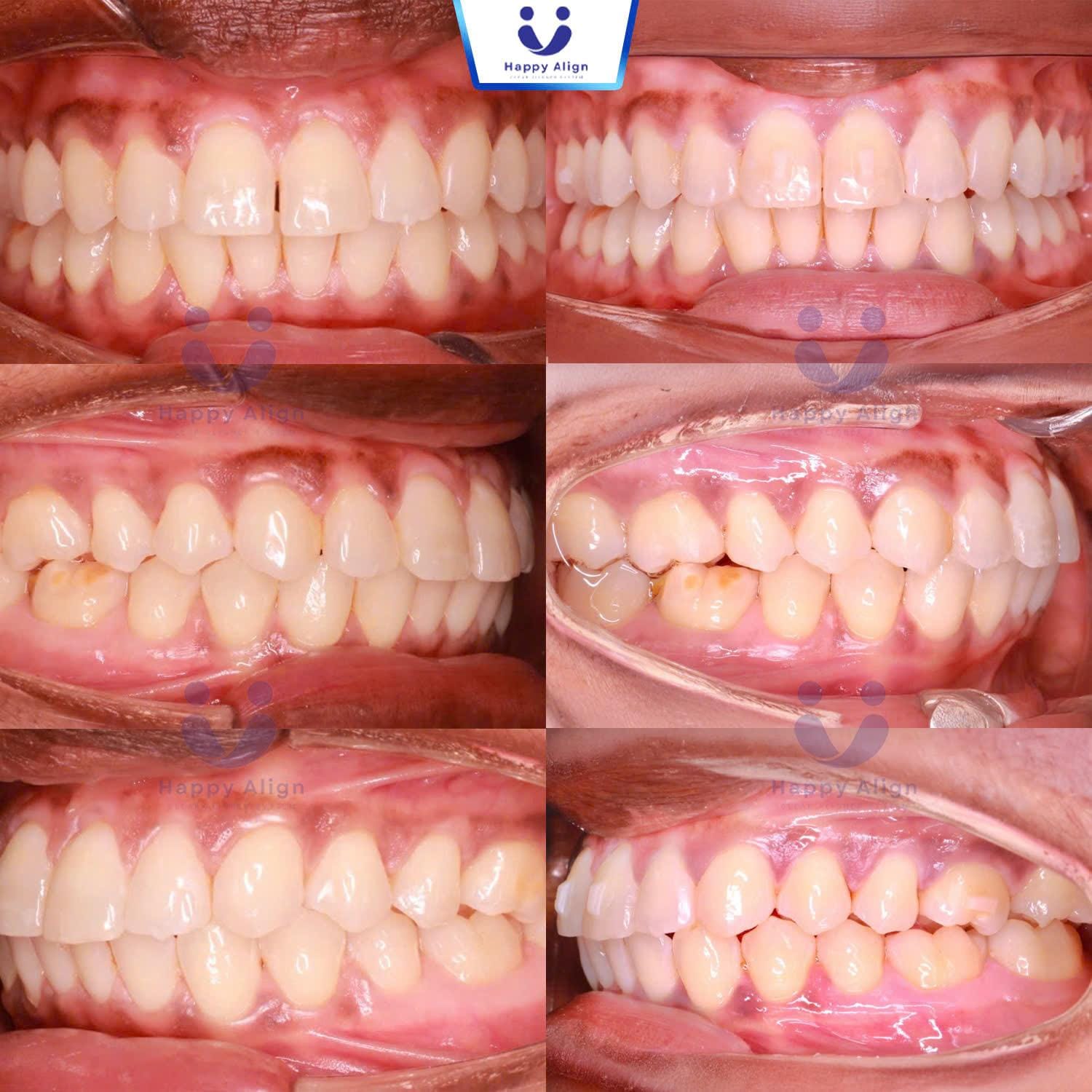
Mục tiêu điều trị: đóng khe thưa, đóng cắn hở
Thời gian: 16 khay - 4 tháng ( in treatment)

Mục tiêu điều trị: giải quyết cắn ngược, sắp đều răng
Thời gian: 22 khay - 8 tháng ( in treatment)

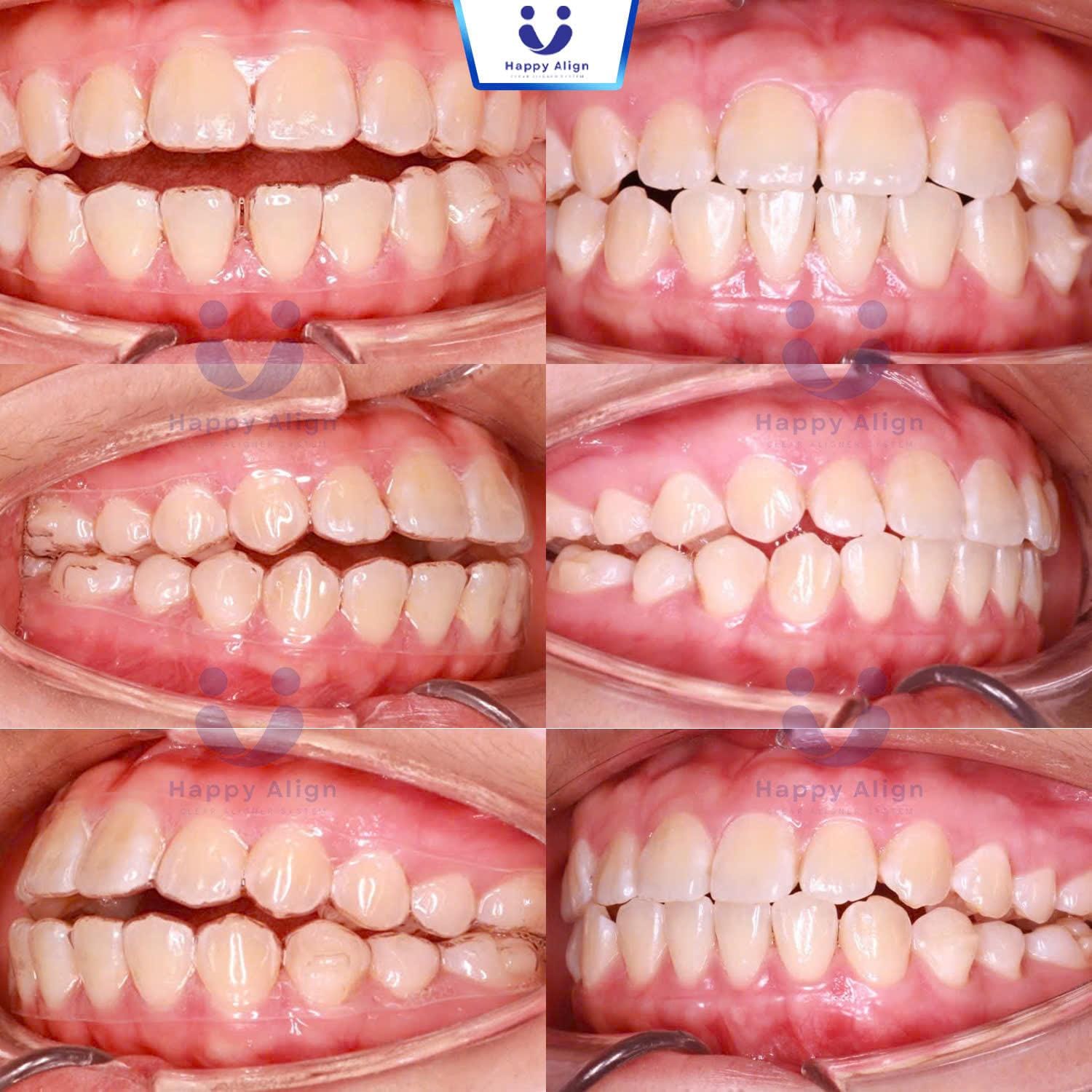
Mục tiêu điều trị: đóng khe thưa, giảm chìa, giải quyết cắn ngược
Thời gian: 26 khay - 9 tháng

Mục tiêu điều trị: đóng khe thưa, giảm chìa, tạo khớp cắn đúng
Thời gian: 18 khay - 6 tháng (in treatment)

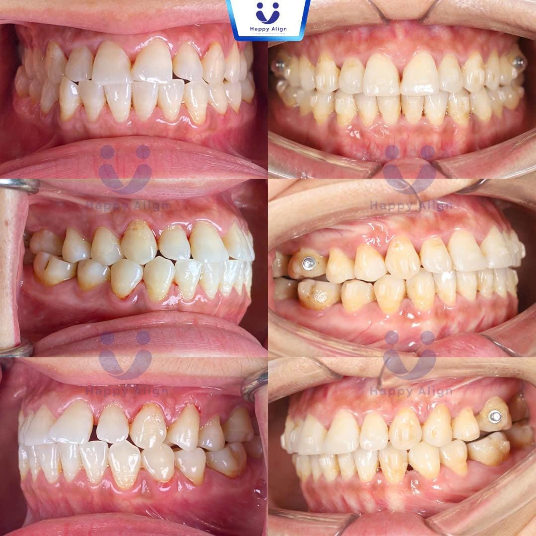
Mục tiêu điều trị: sắp đều răng, giảm hô
Thời gian: 42 khay - 15 tháng

Mục tiêu điều trị: đóng khe thưa, tạo khoảng cấy implant R31,41
Thời gian: 16 khay - 6 tháng (in treatment)

Mục tiêu điều trị: đóng khe thưa
Thời gian: 6 khay - 2 tháng
20–22 tiếng/ngày, chỉ tháo khi ăn uống hoặc vệ sinh răng.
Cảm giác ê nhẹ 1–2 ngày đầu khi đổi khay, sau đó quen nhanh
Thông thường sau 2–3 tháng bạn sẽ thấy răng bắt đầu đều hơn rõ rệt.
Chúng tôi có thể sản xuất khay mới trong 2–3 ngày.
Tùy mức độ lệch răng, hãy để chúng tôi khám và tư vấn gói phù hợp.